AI Superior Overview
AI Superior is a cutting-edge technology company based in Darmstadt, Germany, specializing in Social Media, Artificial Intelligence, and Web Analytics services. Founded in 2019, our team of expert dat... Read More
Services
9 services offered by AI SuperiorReviews
3 reviews for AI SuperiorFor our customers, we work on really big projects with impact. While working on a new state-of-the-art product for the media industry, we struggled with the complexity of the data tasks. AI Superior helped us not only with structuring our machine learning team and developing a feasible roadmap. They also provided the experience and knowledge in implementing a recommender system including natural language processing. And all this for an enormous amount of data! But what thrilled me the most working with AI Superior: They are not only great theoretical experts like many other Data Scientists, th... Read More
Bringing credit scoring to the next level requires not only state-of-the-art knowledge in machine learning but also a deep domain expertise in credit risk management. Bringing both to the table, AI Superior is continuously able to greatly support Finiata on its mission to serve customer segments profitably that have remained untapped before. The friendly contact combined with professionality and on-point deliveries make collaboration easy and productive.
For one of our strategic customers, we required professional support in building predictive models from various data sources. AI Superior was chosen, as previous experience with the founders gave us the confidence and comfort to know that we could rely on their analytics expertise and knowledge to fulfill a project of that kind of complexity. AI Superior provided excellent support and was very responsive and quick even in high-pressure periods. Always delivering in time and of excellent quality. The knowledge transfer went very smoothly and professionally. I would always recommend their work a... Read More
Portfolio
10 projects performed by AI Superior
Estimating Eye Fat and Muscle Volume is a project aimed at developing a system that can accurately measure the volume of fat and muscle in the eye region. This information is crucial for various medical applications, such as monitoring eye health and diagnosing conditions like thyroid eye disease.

Urban Zone Pricing Analysis is a project that focuses on utilizing Artificial Intelligence to analyze and optimize pricing strategies for urban areas. The project aims to provide insights into pricing trends, competitor pricing strategies, and consumer behavior in urban zones.

Deep Learning for Usage-Based Insurance is a project aimed at revolutionizing the insurance industry by utilizing artificial intelligence to analyze driving behavior and provide personalized insurance premiums based on individual habits and risks.

The Graffiti Detection System is a cutting-edge project utilizing Artificial Intelligence to identify and track graffiti vandalism in public spaces. By analyzing images and video footage, this system can automatically detect unauthorized graffiti and alert authorities for prompt action.

Our project, Pothole Detection and Road Damage Assessment, focuses on using Artificial Intelligence to detect and assess road damage such as potholes. By leveraging AI technology, we are able to accurately identify areas of concern on roadways to help prioritize maintenance and repair efforts.

The Roof Detection and Solar Panel Assessment System is a cutting-edge project aimed at utilizing Artificial Intelligence technology to accurately identify roofs and assess the potential for solar panel installation on buildings or homes. By leveraging AI algorithms, the system is able to analyze aerial imagery and detect rooftops with high precision.

The Proptosis Detection Application is a cutting-edge technology that utilizes Artificial Intelligence to accurately detect and diagnose proptosis, a medical condition characterized by abnormal protrusion of the eyeball. By analyzing images of the eye, the application can identify early signs of proptosis and provide timely intervention to prevent further complications.

AI for Deal Sourcing Optimization is a revolutionary project that uses Artificial Intelligence technology to streamline the process of finding and evaluating potential business deals. By leveraging advanced algorithms and machine learning, this project aims to enhance the efficiency and effectiveness of deal sourcing for companies across various industries.

The Trash object detection project aims to utilize drones equipped with cameras to identify and locate garbage in outdoor areas such as parks, beaches, and streets. The project leverages advanced image recognition technology to detect different types of trash, including plastic, paper, and metal objects.

Construction debris detection from a drone is a project that aims to use aerial imagery captured by drones to identify and classify debris on construction sites. By utilizing advanced image processing algorithms, the project seeks to automate the detection process and provide real-time insights to construction site managers.

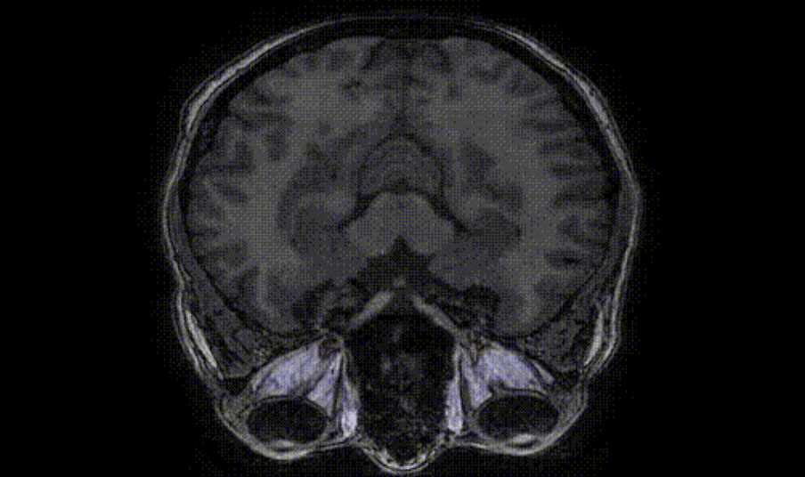
Estimating Eye Fat and Muscle Volume
by AI Superior
Description
Estimating Eye Fat and Muscle Volume is a project aimed at developing a system that can accurately measure the volume of fat and muscle in the eye region. This information is crucial for various medical applications, such as monitoring eye health and diagnosing conditions like thyroid eye disease.
Challenge
One of the main challenges in estimating eye fat and muscle volume is the complex anatomy of the eye region, which can vary greatly from person to person. Additionally, accurately measuring these volumes traditionally requires expensive imaging equipment and manual calculations.
Solution
Using Artificial Intelligence, we have developed a system that can automatically analyze imaging data to estimate eye fat and muscle volume. By training our AI model on a large dataset of eye images, we can accurately predict these volumes in a fast and cost-effective manner.
Impact
This project has the potential to revolutionize the way eye health is monitored and diagnosed. By providing accurate and reliable estimates of eye fat and muscle volume, medical professionals can make more informed decisions about patient care and treatment options, leading to improved outcomes for patients.

